Бронхоэктатическая болезнь – это врожденное или приобретенное воспалительное заболевание дыхательной системы, сопровождающееся нагноением в расширенных, деформированных и функционально неполноценных бронхах (гнойный эндобронхит), ведущее к необратимому нарушению их дренажной функции, развитию ателектазов, эмфиземы и цирроза в региональной зоне легочной ткани.
Изменения в бронхах и легких при бронхоэктатической болезни
Под бронхоэктазами понимают необратимое, чаще сегментарное расширение бронхов, обусловленное изменением тонуса или деструкцией их стенок по причине воспаления, локального нарушения трофических процессов, склероза либо гипоплазии.
Дебют бронхоэктатической болезни в большинстве случаев приходится на возраст от 5 до 25 лет; у женщин заболевание регистрируется реже, чем у мужчин.
Болезнь возникает первично и является самостоятельной нозологической единицей. Если бронхоэктазы появляются как осложнение другого заболевания, говорят о вторичной бронхоэктазии.
Причины и факторы риска
В полной мере этиологические факторы заболевания не установлены. Наиболее значимыми причинами развития бронхоэктатической болезни принято считать следующие:
генетически обусловленные особенности строения бронхиального дерева (неполноценность стенки, недоразвитие гладкой мускулатуры, соединительнотканного компонента бронхов, несостоятельность системы бронхопульмональной защиты);
необратимые изменения структуры слизистой оболочки бронхов, возникшие на фоне перенесенных в детском возрасте инфекционных респираторных заболеваний (как бактериальной, так и вирусной природы);
курение, злоупотребление алкоголем матери во время беременности и перенесенные в этот период вирусные заболевания;
врожденные аномалии строения бронхиального дерева (около 6% случаев).
Меры профилактики бронхоэктактической болезни включают своевременное лечение респираторных заболеваний, отказ от курения, своевременные вакцинации.
Факторы риска:
неблагоприятные климатические условия в зоне проживания;
неблагополучная экологическая обстановка;
профессиональные вредности (производственный контакт с токсичными и агрессивными летучими веществами, пылью, взвесями, туманами);
курение, злоупотребление алкоголем;
хронические заболевания бронхолегочной зоны;
тяжелая физическая работа.
Структурные изменения в легких при бронхоэктактической болезни
В результате воздействия причинных факторов (при наличии отягчающих факторов риска) происходят структурные и функциональные изменения бронхиального дерева. Нарушается бронхиальная проходимость, что ведет к задержке адекватной эвакуации бронхиального секрета; в бронхах развиваются воспалительные изменения, которые при прогрессировании способны привести к дегенерации хрящевых пластинок, гладкой мышечной ткани, склерозированию бронхиальной стенки. Нарушение откашливания, застой и инфицирование секрета в расширенных бронхах влекут появление характерных признаков заболевания.
Формы заболевания
Классификация бронхоэктазов по форме расширения бронхов:
цилиндрические;
мешотчатые;
веретенообразные;
смешанные.
Разновидности бронхоэктазов по форме расширения бронхов
Под бронхоэктазами понимают необратимое, чаще сегментарное расширение бронхов, обусловленное изменением тонуса или деструкцией их стенок по причине воспаления, локального нарушения трофических процессов, склероза либо гипоплазии.
По клиническому течению (степени тяжести) бронхоэктазы бывают:
легкой формы;
средней тяжести;
тяжелой формы;
осложненной формы.
В зависимости от распространенности процесса:
односторонние;
двухсторонние.
Бронхоэктатическая болезнь протекает с чередованием фаз обострения и ремиссии.
Симптомы
Основные признаки бронхоэктатической болезни:
кашель с гнойной зловонной мокротой;
кровохарканье (приблизительно у 1/3 пациентов);
одышка (преимущественно при физической нагрузке, усиливается по мере прогрессирования заболевания);
боли в грудной клетке;
повышение температуры тела, слабость, потливость, апатичность, головная боль в период обострения.
Основные симптомы бронхоэктактической болезни
Мокрота у пациентов с бронхоэктатической болезнью имеет гнилостный запах, отходит «полным ртом» (от 50 до 500 мл в сутки), в наибольшем количестве отделяется в утренние часы после подъема или при принятии определенного положения тела (свесившись или с опущенным изголовьем кровати). В период ремиссии количество отделяемой мокроты значительно уменьшается; у некоторых больных мокрота вне обострений полностью отсутствует.
Кровохарканье чаще беспокоит человека при обострении заболевания или при интенсивных физических нагрузках. В редких случаях оно может быть единственным проявлением заболевания (при так называемых сухих бронхоэктазах).
Объективное обследование пациентов:
отставание детей в физическом развитии, низкая масса тела, мышечная гипотрофия;
характерное изменение пальцев и ногтей (симптомы барабанных палочек и часовых стекол);
цианотичное окрашивание кожных покровов и видимых слизистых оболочек;
неравномерное участие грудной клетки в акте дыхания (отставание половины на пораженной стороне).
Дебют бронхоэктатической болезни в большинстве случаев приходится на возраст от 5 до 25 лет; у женщин заболевание регистрируется реже, чем у мужчин.
сбор анамнеза (длительный кашель с гнойной мокротой);
данные объективного исследования;
аускультация (в период обострения над очагом поражения выслушиваются жесткое дыхание, разнокалиберные влажные хрипы, уменьшающиеся или исчезающие после энергичного откашливания и отхождения мокроты);
общий анализ крови (выявляются лейкоцитоз с нейтрофильным сдвигом влево, нарастание СОЭ);
биохимический анализ крови [устанавливается увеличение содержания сиаловых кислот, фибрина, серомукоида, острофазовых белков (неспецифических признаков воспалительного процесса)];
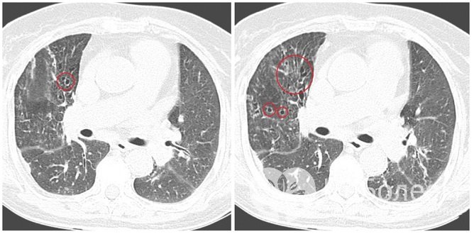
рентгенография легких [выявляются деформация и усиление легочного рисунка, ячеистый легочной рисунок в области нижних сегментов, тонкостенные кистоподобные просветления (полости), иногда с жидкостью, уменьшение объема (сморщивание) пораженных сегментов, повышение прозрачности здоровых сегментов легкого, «ампутация» корня легкого, наличие косвенных признаков бронхоэктатической болезни];
бронхография с контрастным веществом (определяются расширение бронхов различной формы, их сближение и отсутствие заполнения контрастным веществом ветвей, располагающихся дистальнее бронхоэктазов);
В составе комплексного лечения бронхоэктактической болезни показана дыхательная гимнастика
При отсутствии эффекта от консервативной терапии рекомендуется оперативное вмешательство.
При развитии осложнений бронхоэктактической болезни (в частности, вовлечении в патологический процесс сердечно-сосудистой системы), прогноз лечения значительно ухудшается.
Возможные осложнения и последствия
Осложнениями бронхоэктатической болезни могут быть:
дыхательная недостаточность;
хроническое легочное сердце;
легочная гипертензия;
легочные кровотечения;
амилоидоз;
миокардиодистрофия;
эмфизема легких.
Прогноз
Прогноз зависит от множественности бронхоэктазов, степени тяжести и наличия осложнений. Он благоприятен при своевременной постановке диагноза, полноценной комплексной терапии и ухудшается при развитии осложнений (в частности, вовлечении в патологический процесс сердечно-сосудистой системы).
Профилактика
С целью снижения риска развития бронхоэктатической болезни необходимо:
своевременно производить лечение респираторных заболеваний у детей;
осуществлять сезонную вакцинацию от гриппа;
проводить вакцинацию от пневмококковой инфекции при наличии заболевания (с целью предупреждения обострения);
избегать воздействия факторов риска;
отказаться от курения, злоупотребления алкоголем (они способствуют значительному ухудшению бронхопульмональной защиты).
Видео с YouTube по теме статьи:
Об авторе
Олеся СмольняковаТерапия, клиническая фармакология и фармакотерапияОб авторе
Образование: высшее, 2004 г. (ГОУ ВПО «Курский государственный медицинский университет»), специальность «Лечебное дело», квалификация «Врач». 2008-2012 гг. – аспирант кафедры клинической фармакологии ГБОУ ВПО «КГМУ», кандидат медицинских наук (2013 г., специальность «фармакология, клиническая фармакология»). 2014-2015 гг. – профессиональная переподготовка, специальность «Менеджмент в образовании», ФГБОУ ВПО «КГУ».
Информация является обобщенной и предоставляется в ознакомительных целях. При первых признаках болезни обратитесь к врачу. Самолечение опасно для здоровья!
Работа, которая человеку не по душе, гораздо вреднее для его психики, чем отсутствие работы вообще.
Существуют очень любопытные медицинские синдромы, например, навязчивое заглатывание предметов. В желудке одной пациентки, страдающей от этой мании, было обнаружено 2500 инородных предметов.
Во время чихания наш организм полностью прекращает работать. Даже сердце останавливается.
Наши почки способны очистить за одну минуту три литра крови.
В течение жизни среднестатистический человек вырабатывает ни много ни мало два больших бассейна слюны.
В нашем кишечнике рождаются, живут и умирают миллионы бактерий. Их можно увидеть только при сильном увеличении, но, если бы они собрались вместе, то поместились бы в обычной кофейной чашке.
Когда влюбленные целуются, каждый из них теряет 6,4 ккалорий в минуту, но при этом они обмениваются почти 300 видами различных бактерий.
Средняя продолжительность жизни левшей меньше, чем правшей.
74-летний житель Австралии Джеймс Харрисон становился донором крови около 1000 раз. У него редкая группа крови, антитела которой помогают выжить новорожденным с тяжелой формой анемии. Таким образом, австралиец спас около двух миллионов детей.
Каждый человек имеет не только уникальные отпечатки пальцев, но и языка.
Желудок человека неплохо справляется с посторонними предметами и без врачебного вмешательства. Известно, что желудочный сок способен растворять даже монеты.
Американские ученые провели опыты на мышах и пришли к выводу, что арбузный сок предотвращает развитие атеросклероза сосудов. Одна группа мышей пила обычную воду, а вторая – арбузный сок. В результате сосуды второй группы были свободны от холестериновых бляшек.
Даже если сердце человека не бьется, то он все равно может жить в течение долгого промежутка времени, что и продемонстрировал нам норвежский рыбак Ян Ревсдал. Его "мотор" остановился на 4 часа после того как рыбак заблудился и заснул в снегу.
Вес человеческого мозга составляет около 2% от всей массы тела, однако потребляет он около 20% кислорода, поступающего в кровь. Этот факт делает человеческий мозг чрезвычайно восприимчивым к повреждениям, вызванным нехваткой кислорода.
В Великобритании есть закон, согласно которому хирург может отказаться делать пациенту операцию, если он курит или имеет избыточный вес. Человек должен отказаться от вредных привычек, и тогда, возможно, ему не потребуется оперативное вмешательство.